Cronaca
Covid: 25 ricoveri a Crema. Galmozzi
e Borghetti: "Avanti con vaccini"
Foto d'archivio
Sono 25 i posti letto occupati da pazienti covid all’Asst di Crema; nessuno di loro si trova in terapia intensiva o semi-intensiva. Tuttavia la nuova variante Omicron, come già sottolineato dal direttore sanitario Roberto Sfogliarini, preoccupa, specie per l’elevata capacità di contagio. Nella giornata di ieri, in pronto soccorso, sono stati rilevati tre nuovi positivi.
I cittadini segnalati al domicilio all’Asst cittadina sono 1855, di cui 115 vengono seguiti dalla centrale multiservizi, in quanto non necessitano ospedalizzazione. Gli altri presentano sintomi lievi o nulli.
“La situazione pandemica sta attraversando senz’altro una fase delicata – il commento del medico di pronto soccorso Attilio Galmozzi – I contagi (tamponi positivi) stanno aumentando sicuramente. Tuttavia il dato non è paragonabile allo stesso periodo dello scorso anno, quando erano in vigore coprifuoco, restrizioni e non c’era il vaccino. E i tamponi processati erano di gran lunga inferiori”. Il medico, tramite la propria pagina Facebook, aggiorna i concittadini, rassicurando sull’efficacia dei vaccini che seppur non “riparano” al 100% dall’infezione, permettono di avere solo sintomi “banali”. “Questo è un dato positivo e importante perché chiaramente significa che tampone positivo e malattia marciano con due differenti velocità. Se prima erano severamente legati, oggi lo sono molto meno”.
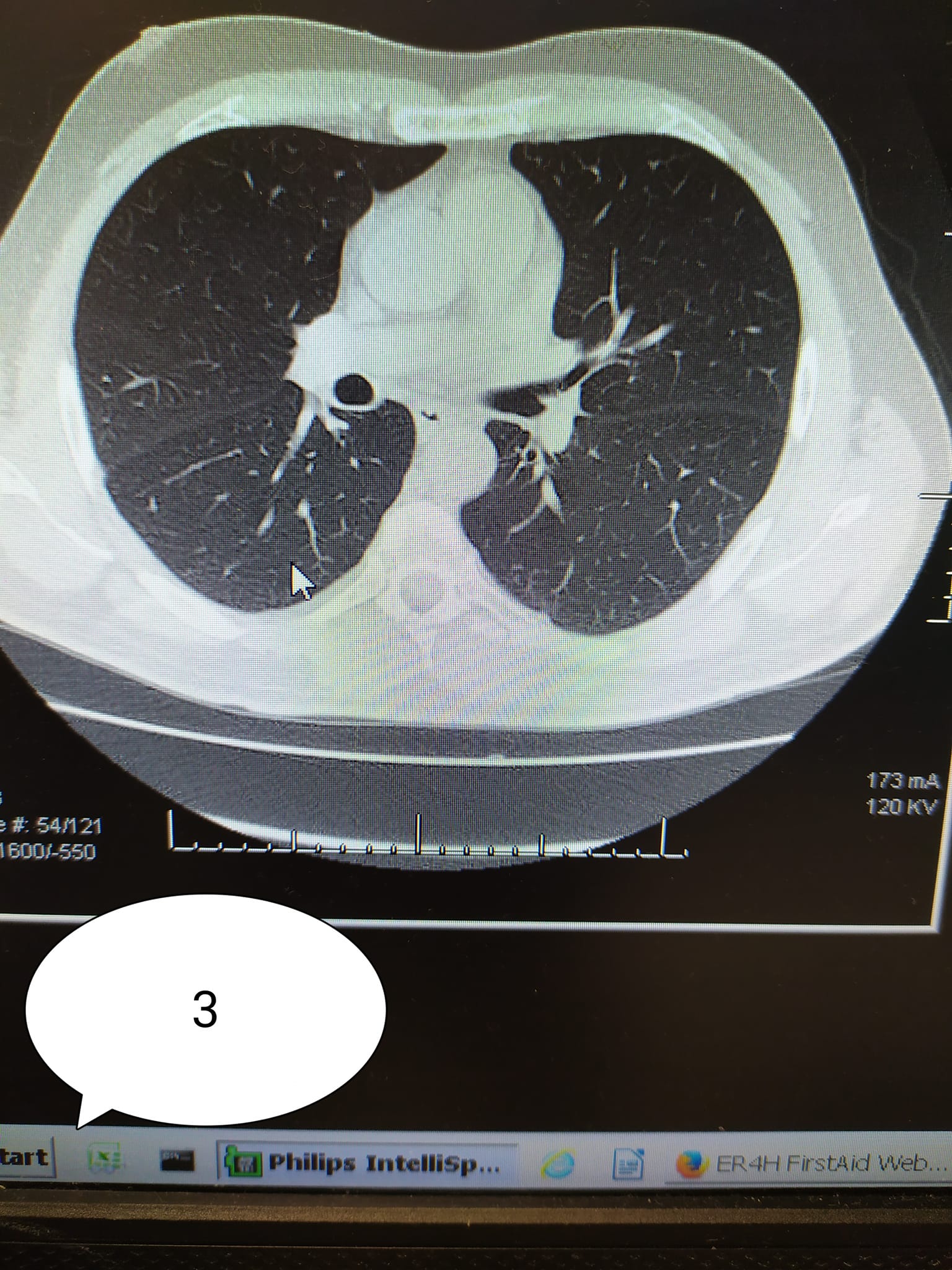
Galmozzi ha poi pubblicato 3 immagini di TC:
1) soggetto di 52 anni NON VACCINATO, senza malattie in anamnesi
2) soggetto di 70 anni NON VACCINATO, senza malattia in anamnesi
3) soggetto di 54 anni FRAGILE per severe copatologie VACCINATO
“Se in 1) e 2) il carico di malattia polmonare è elevato in 1 (circa 60%) e discreto in 2) (circa 35%). Nel soggetto 3) (fragile e con malattie importanti in anamnesi), la malattia non c’è. I primi due ricoverati e con ossigeno, il terzo a casa sua”.
“Che senso ha oggi il tracciamento e la corsa (quasi isterica) al tampone, soprattutto dei vaccinati? – aggiunge il radiologo Maurizio Borghetti – Teniamo presente che una cura efficace ‘preventiva’ per gli eventi gravi non esiste e il solo modo di prevenire è il vaccino (piaccia o no ma è così). Manteniamo quindi la calma, non abbandoniamo le precauzioni, facciamo in modo di convincere i restii a vaccinarsi e riserviamo i tamponi (molecolari) ai sintomatici più impegnativi/sospetti con un utilizzo ponderato delle Tac per evidenziare o escludere polmonite. Forse ne usciamo meglio”.
ab
© Riproduzione riservata


